Shocking Truth About Enamel Hypoplasia You’re Overlooking Entirely - Navari Limited
Shocking Truth About Enamel Hypoplasia You’re Overlooking Entirely
Shocking Truth About Enamel Hypoplasia You’re Overlooking Entirely
Enamel hypoplasia is a dental condition often underestimated—but its impact on oral health can be profound and long-lasting. Many people dismiss it as a minor cosmetic concern, yet emerging research reveals surprising truths that challenge common misconceptions. Understanding enamel hypoplasia in depth is crucial not only for oral care but for overall health awareness. In this article, we uncover the shocking reality behind this condition—what it really means, why it’s often overlooked, and how early detection and proper care can make a life-changing difference.
What Is Enamel Hypoplasia—and Why Does It Matter?
Understanding the Context
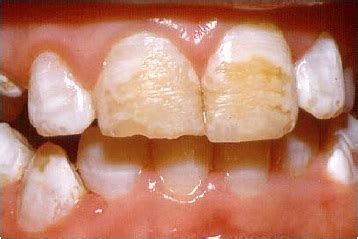
Enamel hypoplasia occurs when the enamel—the hard outer layer of your teeth—doesn’t develop properly during tooth formation. This defect results in thin, defective, or missing enamel, leading to increased sensitivity, discoloration, and a higher risk of cavities and tooth decay. While some cases are mild, others are severe enough to affect chewing, speech, and self-confidence.
What many fail to realize is that enamel hypoplasia isn’t just a surface-level problem. Since enamel doesn’t regenerate, defects remain permanent, making prevention and early intervention essential. This condition often goes unnoticed during childhood, persisting into adulthood and requiring costly, complex dental treatments if left unaddressed.
The Overlooked Truth: Enamel Hypoplasia Is Tied to Systemic Health
One of the most shocking truths about enamel hypoplasia is its strong connection to systemic health issues beyond the mouth. Research increasingly shows that enamel defects can be early indicators of nutritional deficiencies (like vitamin D or calcium insufficiency), prenatal exposure to infections or toxins, genetic disorders, and chronic stress during critical tooth development years. For example:
Image Gallery
Key Insights
-
Prenatal and Childhood Health: Limited studies now suggest that enamel hypoplasia may reflect adverse developmental conditions before birth. This “hidden marker” can prompt healthcare providers to reassess maternal health and childhood nutrition.
-
Autoimmune and Genetic Links: Some forms of enamel hypoplasia are linked to genetic syndromes such as amelogenesis imperfecta or conditions like Down syndrome. Ignoring enamel signs might delay crucial medical diagnoses.
-
Long-Term Systemic Risks: Poor oral health from hypoplasia doesn’t stay confined to the mouth. Bacteria from weakened enamel can enter the bloodstream, potentially increasing risks for cardiovascular and inflammatory diseases.
Signs You Might Be Overlooking Enamel Hypoplasia
Most people ignore minor white spots, pits, or unusually shaped teeth, assuming they’re just cosmetic. But distinguishing enamel hypoplasia requires attention to detail:
🔗 Related Articles You Might Like:
Why Their Fur Looks Dirty—No, It’s Not—Just Flea Dirt! Fleas Are Soak-Strong: How Flea Dirt Is Sabotaging Your Furry Friend! FLavaCol Secret Reveal You’ll Never Guess What It Changes About Your Mood!Final Thoughts
- Visual clues: Pitted, grooved, or discolored enamel
- Sensitivity: Avoiding cold, hot, or Sugary foods
- Increased decay: Cavities forming faster or in unexpected patterns
- Developmental history: Prior illness, nutritional deficiencies, or medication exposure in early life
→ Don’t dismiss these signs as ‘just a tooth matte’—they may be the earliest red flags your body is sending.
Shocking Fact: Early Intervention Saved Severe Cases—YOU Can Too
Here’s the mind-blowing part: With early diagnosis and proactive care, enamel hypoplasia doesn’t have to derail your quality of life. Advances in dental materials and preventive strategies mean that:
- Externally applied fluoride and remineralizing agents can reduce cavity risk.
- Composite bonding and microabrasion offer effective cosmetic fixes even with thin enamel.
- Pediatric dentistry focused on enamel health now includes dietary counseling and early x-ray screening.
Ignoring enamel hypoplasia means allowing preventable dental disasters. Yet, knowing about sensitive treatment options empowers you to take control before irreversible damage sets in.
How Dentists Can Help You Recognize and Address It Now
Enamel hypoplasia thrives in silence—until pain or deterioration strikes. Dr. dentists now use high-resolution imaging and genetic testing to identify hidden enamel defects early. They emphasize:
- Custom preventive protocols tailored to your enamel thickness and risk factors.
- Interdisciplinary care linking dental health with pediatric and nutritional support.
- Patient education to break myths and encourage timely checkups, even for subtle enamel changes.